
We are receiving far too many queries for the booking day. It has not changed at all since we started, but here is a summary of what to expect.
At 8am on 19th May 2026, the "coming soon" tab will open up with groups relating to the session dates below. You need to choose your group and follow the on-screen instructions to book yourself. It is that simple!
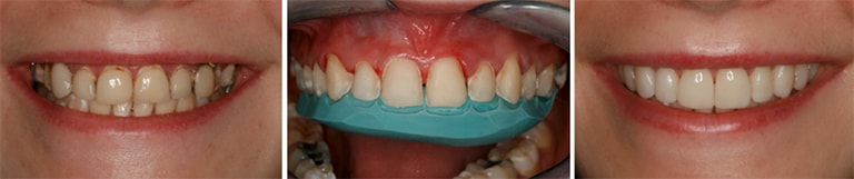
Cosmetic & Aesthetic Dentistry evolved over the last 20 years, and our programme updated continuously, so that it is still the best programme in the UK.
The Chris Orr Course is all about treating a whole mouth.
We teach building aesthetics and function into the treatment plan - regardless of whether it’s a veneer, crown, inlay-onlay, composite bonding or orthodontic case. By the end of one year, you are able to make a comprehensive assessment of all the potential risks for your cases – be they dental, periodontal, occlusal, or aesthetic – develop full mouth treatment plans, and explain this to the patient.
Using our tried and tested system, you will develop your clinical skills and confidence during the year. The first half of the programme will re-examine many of the techniques you will carry out on a day-to-day basis, to give a foundational skill set that is built upon in the second half of the year, as we consider the comprehensive treatment of the whole mouth as a functional and aesthetic entity.
Here is a summary of the topics covered…
| G1/Wednesday | G2/Thursday | G3/Friday | G4/Monday | G5/Tuesday | G6/Thursday | |
| 1-Aesthetic & functional treatment planning; DSD | 23/09/26 | 24/09/26 | 25/09/26 | 12/10/26 | 06/10/26 | 08/10/26 |
| 2-The consultation & diagnostic process | 21/10/26 | 22/10/26 | 23/10/26 | 02/11/26 | 03/11/26 | 05/11/26 |
| 3-Minimal intervention aesthetics | 25/11/26 | 26/11/26 | 27/11/26 | 30/11/26 | 01/12/26 | 03/12/26 |
| 4-Single anterior veneers & crowns; the workflow | 06/01/27 | 07/01/27 | 08/01/27 | 11/01/27 | 12/01/27 | 14/01/27 |
| 5-Posterior aesthetic restorations | 03/02/27 | 04/02/27 | 05/02/27 | 08/02/27 | 09/02/27 | 11/02/27 |
| 6-Advanced anterior composite restorations | 03/03/27 | 04/03/27 | 05/03/27 | 15/03/27 | 02/03/27 | 11/03/27 |
| 7-Advanced anterior veneer cases | 31/03/27 | 01/04/27 | 02/04/27 | 05/04/27 | 06/04/27 | 08/04/27 |
| 8-Complex aesthetics I: Specialist interfaces | 28/04/27 | 29/04/27 | 30/04/27 | 26/04/27 | 04/05/27 | 06/05/27 |
| 9-Complex aesthetics II: Aesthetic & Function | 26/05/27 | 27/05/27 | 28/05/27 | 24/05/27 | 01/06/27 | 03/06/27 |
| 10-Complex aesthetics III: Aesthetic tooth replacement | 23/06/27 | 24/06/27 | 25/06/27 | 28/06/27 | 29/06/27 | 01/07/27 |
| 11-Complex aesthetics IV: Managing interdisciplinary team | 21/07/27 | 22/07/27 | 23/07/27 | 26/07/27 | 27/07/27 | 29/07/27 |
| 12-Aftercare, repairs & maintenance; Managing failures | 25/08/27 | 26/08/27 | 27/08/27 | 23/08/27 | 31/08/27 | 02/09/27 |
After completion of the whole course, participants should have gained knowledge & understanding of the following:
This knowledge is built throughout the year, via the structured programme.
This is not a modular programme – there are many recurring themes throughout the year, so the material covered in the middle of the year builds on what was covered at the start. In the same way, the material at the end of the year builds on what was covered before.
This is why it is crucial that if you manage to book yourself on the programme, you should block the course dates in your diary in order to not miss a session.

Aesthetic treatment planning:
Functional treatment planning:
Overview of different approaches to aesthetic & functional treatment planning:
Evidence-based dentistry:
Learning objectives
After the Day 1 programme, participants should have gained the following:

After the Day 2 programme, participants should have gained the following:

After the Day 3 programme, participants should have gained the following:

After the Day 4 programme, participants should have gained the following:

After the Day 5 programme, participants should have gained the following:

After the Day 6 programme, participants should have gained the following:

After the Day 7 programme, participants should have gained the following:

After the Day 8 programme, participants should have gained the following:

2-dimensional digital treatment planning
Introduction to 3-D digital smile design
After the Day 9 programme, participants should have gained the following:

After Day 10 programme, participants should have gained the following:

After the Day 11 programme, participants should have gained the following:

After the Day 12 programme, participants should have gained the following:
The course sessions are held at our custom-built postgraduate education facility, close to London Bridge station.
Advanced Dental SeminarsEach day, the morning lecture starts at 9.15am and we will finish at around 5.00pm.
Participants who manage to book themselves on the programme receive a detailed Welcome booklet with info about the venue, local neighbourhood and possible places to stay overnight as over 70% of our participants travel to us from all parts of UK and Europe.
All bookings are done online through our website.
Course sessions cost £800.00 + VAT per day. There are 12 sessions on the programme.
Payments are done by setting up a direct debit payment on our website during the booking.
Initial booking fee is £960.00 ( £800.00 + 160.00 (VAT) ), which is deducted from the total payment
The remaining fee for 11 days is divided into 6 equal amounts to make it easily manageable sum for delegates and payments of £1760.00, including VAT, is taken out by DD, every two months, starting in September each year.
Tea and coffee are provided at appropriate intervals throughout the day.
A buffet lunch is provided. If you prefer to go out, there are numerous establishments offering a full range of culinary options just a few minutes’ walk away from our venue.
Please note that currently we are not able to cater for specific dietary requirements. Special care is given to provide a wide selection of options.
Q: Does the ADS Year Course give a level 7 PGCert / PGDip?
A: This is available as a separate follow on programme, once you have completed the initial Year Course. Over the years, our delegates have told us that they preferred to simply focus on their everyday practice for their patients and not have the added stress of completing assignments or preparing for exams. This takes the pressure off the learning and allows delegates to focus on implementing the teaching in their own time.
Because there are no exams or assessments, the ADS Year Course simply provides a completion certificate and CPD hours at the end of the year.
However, as we already have the accreditation for credit towards a Level 7 Postgraduate Diploma, delegates who have finished the ADS Year Course, will have the opportunity to sign up for the ADS Diploma programme, as a follow up, to further refine their skills and gain a PGDip.
Q: What is the ADS PGDiploma programme?
A: The ADS PGDip in Cosmetic & Aesthetic Restorative Dental Sciences (to give its full title) is designed to allow ADS Alumni to receive a PGDip qualification. This follow up programme reinforces the key skills learned during the Year Course through revisions and updates.
More importantly, ADS PGDip qualification includes the curriculum of our former Advanced Occlusion and Complex Treatment Planning programme, which we used to run as the follow on programme.
In common with all qualifications of this level, there will be some assessments and clinical case presentations. The programme will support delegates through completion of the assignments and preparing the clinical case presentations necessary for the award of the Level 7 qualification.
Q: Why payment only with Direct Debit?
A: We wanted to make the programme more accessible financially to suit everyone’s budget. This is why 12 sessions worth of fees are taken in 7 parts (including the initial booking fee) to make it manageable sums to delegates. DD is set on a secure platform through our website and creates a straightforward payment method for both the delegate and us. Delegates have easy access to their payment info by logging into their dashboard on our site after the booking.
Q: What happens if I miss a day?
A: You will receive the reading material and handouts so that you can see what was covered. You will still be expected to pay for that session even if you do not attend. If the session is repeated again in following year's course, you may attend this session at no charge. We allow up to two sessions to be carried over to the next run of the course in this manner, provided that the sessions are repeated in the same format. We are not under any obligation to offer a missed session in the following year if the course is not run in the same format.
Q: Is there an examination at the end of the course? Do I have to present any cases?
A: No, there is no formal examination at the end of the course ADS Year Course. On the last day there is an optional case presentation by the participants as it is a nice way of rounding off the year, but it is not compulsory to present a case.
Q: Do we get a certificate at the end of the year?
A: All delegates, who attend a minimum of 10 sessions during their course year, receive a post-graduate dental certificate in Cosmetic Dentistry & Aesthetic Restorative Dentistry from ADS to prove their attendance on the programme.
Q: Do I have to bring patients for treatment?
A: No, there is no live patient treatment in this programme.
Q: What if I decide to withdraw from the course after booking my place?
A: Our reservation policy allows you to cancel your booking within the first 14 days of the online booking on ADS website and you will receive a full refund of the initial payment. No refunds are given after the 14 days for any cancellations.
All cancellations must be made in writing to info@advancedentalseminars.com email address in order to receive the full refund within the first 14 days of the booking.
Please check FAQ tab above to find out more about the programme.
If you still have Qs to ask, the best way to contact ADS Team is by email on info@advanceddentalseminars.com
Following our IG or FB pages is the best way for being notified of announcements of bookings.
Please note, Advanced Dental Seminars reserves the right to refuse or cancel a booking.